Does Chiropractic Help With Scoliosis?

Short answer, yes- it can! However, it’s not an easy task and scoliosis can be quite a complex thing issue. Let’s take a peek into what scoliosis is, what the traditional options are, and the unique way Chiropractic care at Roots may help with scoliosis.

What is Scoliosis?

Scoliosis is often described as a condition in which the spine curves sideways, by a minimum of 10 degrees, instead of being straight. In moderate to severe cases, the rib cage and muscles surrounding the spine may stick out more on one side than the other. Scoliosis is much more common in girls vs boys and often starts(or is detected) in the pre teen to teenage years. Interestingly, girls who participate in sports like ballet, dancing, or gymnastics have been shown to have much higher rates of scoliosis. Because scoliosis can be a progressive condition, the curve will often increase year by year, especially in adolescents or individuals with curves over 50 degrees. Other people may detect scoliosis later on in life due to a genetic condition, spinal trauma, or degenerative changes.

What are Some Common Symptoms of Scoliosis?

Pain and increased muscle tension are very common symptoms associated with scoliosis. A person with scoliosis may have uneven shoulders and hips, with one of the shoulder blades winging out further than the other. Muscles on one or both sides of the spine get pulled taut and become tender. Some people may also not be able to bend or twist to one side as well as to the other. Because of the abnormal shape of the spine and body, self-esteem and confidence levels are also affected. People with scoliosis also have a higher risk of developing organ issues like heart failure, atrial fibrillation, breathing problems, pneumonia, reflux, erectile dysfunction, and other digestive symptoms. This may be because of the direct pressure of the vertebrae or ribs on the organs themselves as well as increased compression of the nerves travelling out from between each vertebrae to those organs, not allowing the brain to communicate effectively with them.

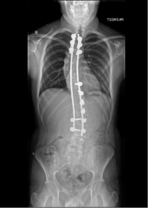
Does Scoliosis require surgery?

The traditional medical approach to scoliosis is to watch and monitor it if under 20 degrees. From 20 degrees upwards to 40 or 50 degrees a brace may be recommended to be worn for 12-20 hours per day with or without some physiotherapy. This is done to theoretically keep the spine from continuing to progress into a more severe curve, not necessarily correct the curve that’s already there. Once the spine gets to a curve of 40 degrees or above, your surgeon may make a recommendation for surgery. Most common surgical option is where metal screws are drilled into your individual vertebrae and then tied to metal rods which are placed along both sides of the spine. The bones are then pulled together to reduce the curvature and bone grafts are placed in between the bones in order to attempt fusing all the affected segments together.

Although it can improve the angles of the curve itself, this type of treatment does have some downsides besides just the invasive surgery and scars left afterwards. Metal rods and screws are generally left in the body and the fused segments don’t move. When joints don’t move they tend to degenerate faster than they would if they had movement. Then the “still moving” segments of the spine have to work harder to compensate for the immobility of the fused segments. Long story short, the bones, discs, muscles, and nerves aren’t always happy post-op or a few years later.

How Does Chiropractic Care Help Scoliosis?

Truthfully, the above may be warranted at times. However, at Roots we believe in trying a more conservative approach when taking care of people suffering from scoliosis before there is a discussion about life-changing major spinal fusion surgery. Much of the care we give to people with scoliosis is based off the principles of Pettibon, Chiropractic BioPhysics, and CLEAR Institute. These 3 Chiropractic techniques are the leading “evidence-based” corrective Chiropractic Care techniques. All have a strong focus on scoliosis treatment or correction and are based out of North America. At the end of Chiropractic school, Dr Josh at Roots Chiropractic did his research proposal or thesis on spinal curve correction using Pettibon technique which was later received and in process for publication.

To be clear, Scoliosis care is not just coming in for an adjustment every once in a while or doing some general stretches. All 3 of the above methods use Chiropractic adjustments to get the spine moving appropriately, specific spinal exercises to help strengthen the musculature surrounding the spine, and also make extensive use of spinal traction or molding(based off Xray) to help the brain and body start to make long term shifts.

The first place we start when someone comes in either having been diagnosed with scoliosis or  thinking they might have it is to do a thorough consultation, history, and appropriate spinal exams. We also include bilateral weight scales, posture pictures, and get X-rays done to measure the angles and determine exactly where and how severe the scoliosis may be. With all that information then we’re able to give the best recommendations as far as how much correction may be possible, how long it’s going to take, and what type of exercises or traction will need to be done alongside adjustments in order to get the best results.

To be clear, every patient with scoliosis responds differently. The goal also should not necessarily get to “perfectly straight”. For some people, the reality is that just won’t happen. However, the decrease in pain and improvement in quality of life has been well documented when patients go from 45 degrees down to 32. And the increase in function and mobility that patients notice long term when they go from a 26 degree curve to a 12 degree curve is absolutely life-changing!

We hope this is helpful and if you have more questions feel free to send an email to info@rootschiropractic.co.za to see how our Chiropractors at Roots can help with scoliosis.

References:

Longworth B., Fary R., Hopper D, Arch Phys Med Rehabil. 2014 Sep;95(9):1725-30. doi: 10.1016/j.apmr.2014.02.027. Epub 2014 Mar 21

Quintero Santofimio V, Clement A, O’Regan DP, et al Identification of an increased lifetime risk of major adverse cardiovascular events in UK Biobank participants with scoliosis Open Heart 2023;10:e002224. doi: 10.1136/openhrt-2022-002224

Hosogane N, Watanabe K, Yagi M, Kaneko S, Toyama Y, Matsumoto M. Scoliosis is a Risk Factor for Gastroesophageal Reflux Disease in Adult Spinal Deformity. Clin Spine Surg. 2017 May;30(4):E480-E484. doi: 10.1097/BSD.0000000000000263. PMID: 28437356.

Case courtesy of Jeremy Jones, Radiopaedia.org. From the case rID: 89552

Morningstar MW. Outcomes for adult scoliosis patients receiving chiropractic rehabilitation: a 24-month retrospective analysis. J Chiropr Med. 2011 Sep;10(3):179-84. doi: 10.1016/j.jcm.2011.01.006. Epub 2011 Aug 6. PMID: 22014907; PMCID: PMC3259989.

Morningstar MW, Dovorany B, Stitzel CJ, Siddiqui A. Chiropractic Rehabilitation for Adolescent Idiopathic Scoliosis: End-of-Growth and Skeletal Maturity Results. Clin Pract. 2017 Jan 12;7(1):911. doi: 10.4081/cp.2017.911. PMID: 28243430; PMCID: PMC5264549.

Chiropractic Bio Physics https://idealspine.com/cbp-research/

Browse Other Blogs

  • roots chiropractic

    The Infamous Y-Strap or “Ring-Dinger” Adjustment

    The Infamous Y-Strap or “Ring-Dinger” Adjustment Understanding the Y-Strap Phenomenon If you’ve spent time on social media, you’ve probably come across eye‑catching videos of people…
    Read More
  • roots chiropractic

    Joint Mobility vs Muscle Flexibility

    Joint Mobility vs Muscle Flexibility Why Understanding the Difference Matters Many people use the terms mobility and flexibility as if they mean the same thing….
    Read More
  • roots chiropractic

    The Ideal Spine

    The Ideal Spine Understanding the Ideal Spine Think about the times you’ve sat at a desk for hours. Or the moments when you’ve carried shopping…
    Read More
  • roots chiropractic

    Chiropractic for Babies

    Chiropractic for Babies Parenthood brings countless joys—and plenty of questions. One topic that sparks curiosity and is gaining significant popularity among parents is Chiropractic care…
    Read More
  • roots chiropractic

    The BIG Idea — BJ Palmer

    The BIG Idea — BJ Palmer When people think of chiropractic care, they often picture spinal adjustments or relief from back pain. But behind chiropractic…
    Read More
  • roots chiropractic

    Technology: A Real Pain in the Neck

    Technology: A Real Pain in the Neck We live in a hyper-connected world. Whether you’re checking messages on the promenade, working from a café in…
    Read More